img
img
img
img
vdsgqsdgfqs

LA NATIVE

Cabinet d'orthodontie et pédodontie

Bienvenue dans notre cabinet d’orthodontie, un espace chaleureux où modernité, excellence et bien-être s’unissent pour prendre soin de votre sourire. Grâce à des technologies de pointe et à un suivi personnalisé, nous vous offrons des soins orthodontiques sur-mesure dans un cadre de confiance et bienveillant.

Notre équipe met son expertise au service de votre santé bucco-dentaire pour corriger l’alignement des dents, améliorer l’esthétique du sourire et assurer une expérience patient optimale. Que vous recherchiez un traitement d’orthodontie pour enfant, adolescent ou adulte, nous vous accompagnons à chaque étape avec professionnalisme.

_sdsfbqdg

Notre équipe

L’équipe pluridisciplinaire de La Native partage une même conviction : pratiquer une orthodontie et une dentisterie modernes, fonctionnelles et esthétiques, au service du sourire et du bien-être global de chaque patient. Découvrez les praticiens qui font vivre cette philosophie au quotidien.

Nos docteurs

img
Romain Radjeï

L’équipe pluridisciplinaire de La Native partage une même conviction : pratiquer une orthodontie et une dentisterie modernes, fonctionnelles et esthétiques, au service du sourire et du bien-être global de chaque patient. Découvrez les praticiens qui font vivre cette philosophie au quotidien.

Dr Romain Radjeï
Fondateur - Chirurgien-dentiste Exercice limité à l’orthodontie
Fondateur - Chirurgien-dentiste – Exercice limité à l’orthodontie
img
img
Diane Van Der Deure
Dr Diane Van Der Deure
Chirurgien-dentiste Exercice limité à la pédodontie
Sophie Vincent
Dr Sophie Vincent
Orthodontiste spécialiste

Nos assistantes

Sabrina
Sabrina
Assistante dentaire
Samia
Samia
Assistante dentaire
Manon
Manon
Assistante dentaire
Beyza
Beyza
Assistante dentaire
Emma
Emma
Assistante dentaire
Sabrina la Native
Sabrina
Responsable administrative
Coralie
Coralie
Secrétaire

Nos traitements

img
img

Gouttières invisibles

La gouttière d’orthodontie, aussi appelée gouttière invisible, constitue aujourd’hui une alternative moderne aux bagues traditionnelles. Discrète, confortable et amovible, elle permet de corriger efficacement l’alignement dentaire tout en s’intégrant facilement dans la vie quotidienne. Ce traitement orthodontique nouvelle génération offre une solution esthétique et pratique pour retrouver un sourire harmonieux, sans les contraintes.

img
img

Orthodontie précoce

L’orthodontie pédiatrique corrige les troubles dento-faciaux chez l’enfant, guide la croissance des mâchoires, améliore respiration et posture linguale. Ce traitement prévient les complications, réduit le temps de port de l’appareil dentaire à l’adolescence et favorise un développement facial harmonieux.

img
img

Orthodontie fonctionnelle

Avec l’orthodontie fonctionnelle, il est possible d’aider les enfants à bien grandir en intervenant tôt sur la position des dents, des mâchoires et la fonction respiratoire. Les appareils fonctionnels, qu’ils soient souples ou fixes, guident le développement global et contribuent à une meilleure posture. Ce traitement précoce assure un sourire harmonieux, une croissance équilibrée et évite de futurs problèmes orthodontiques plus complexes.

img
img

Orthodontie chirurgicale

L’orthodontie chirurgicale combine le port d’un appareil dentaire avec une chirurgie des mâchoires afin de corriger les décalages squelettiques importants. Réalisé en collaboration avec un chirurgien maxillo-facial, ce traitement permet d’améliorer la fonction masticatoire, la respiration et l’esthétique du visage. Il offre une solution complète et durable pour retrouver équilibre et harmonie faciale.

img
img

Contention

La contention orthodontique est une étape essentielle après tout traitement orthodontique. Conçue sur mesure, elle maintient les dents dans leur nouvelle position, prévient les récidives et assure la stabilité de l’occlusion. En protégeant les résultats obtenus, elle garantit un sourire aligné, durable et harmonieux sur le long terme.

img
img

Pédodontie

La pédodontie, ou dentisterie pédiatrique, est la spécialité dédiée à la santé bucco-dentaire des enfants. Elle englobe la prévention, le suivi et les soins adaptés aux dents de lait comme aux dents permanentes.
Le pédodontiste accompagne l’enfant à chaque étape de sa croissance en adaptant ses traitements à son âge, son développement et son comportement. Grâce à une approche douce et personnalisée, la pédodontie favorise de bonnes habitudes d’hygiène et prévient l’apparition de caries ou de troubles orthodontiques, pour un sourire sain et durable dès le plus jeune âge.

img

Parcours de soins

Première consultation

  • Examen clinique et complémentaires (photographies, radiographies etc.)
  • Etablissement d’un diagnostic précis
  • Proposition d’un plan de traitement adapté
img

Bilan complet

  • Analyse approfondie des examens réalisés
  • Évaluation des besoins et des attentes
  • Planification des étapes suivantes du traitement
img

Explication détaillée

  • Présentation du plan de traitement
  • Discussion des options possibles
  • Réponses à toutes vos questions

Début du traitement

  • Installation du dispositif orthodontique
  • Suivi et ajustements réguliers
  • Conseils d’hygiène et d’entretien

Contention à vie

  • Mise en place de la contention
  • Suivi pour assurer la stabilité
  • Ajustements périodiques si nécessaire

Notre cabinet en photoS

img
Aix-en-Provence prendre rdv dentiste orthodontie
espace dentaire la native Aix-en-Provence
la native dentisterie pediatrique
soins dentaires enfant Aix-en-Provence
orthodontie Aix-en-Provence la native
enfants adultes traitement dentaire Aix-en-Provence
espace dentaire la native Aix-en-Provence sterilisation

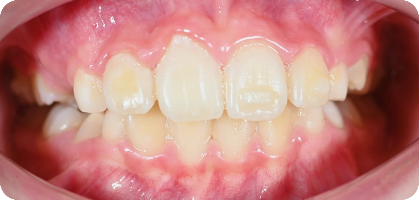
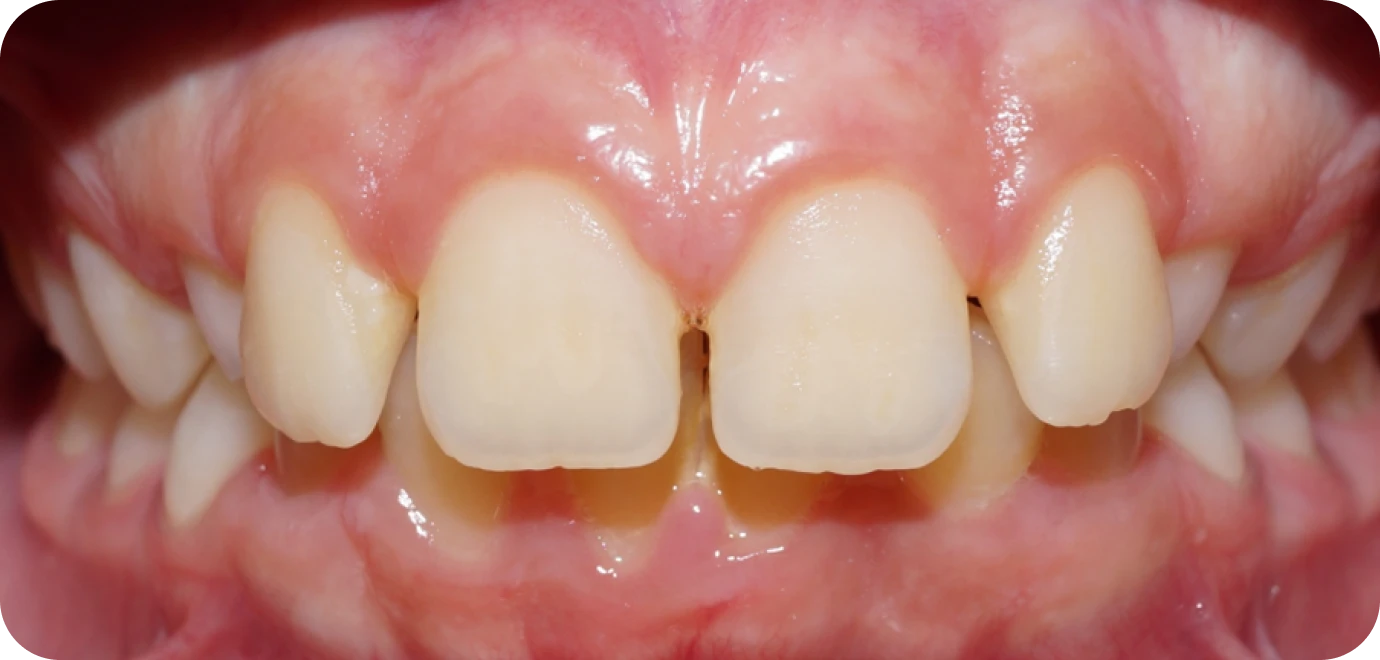
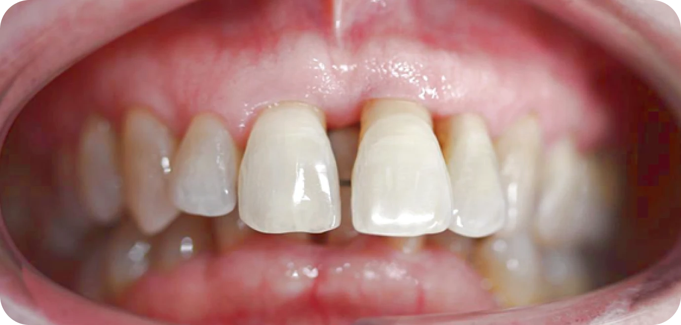
Cas cliniques

Original - Man holding beer Processed - Man holding beer

Chirurgie + aligneurs transparents

Original - Man holding beer Processed - Man holding beer

Canines incluses adolescent : chirurgie dégagement + aligneurs

Original - Man holding beer Processed - Man holding beer

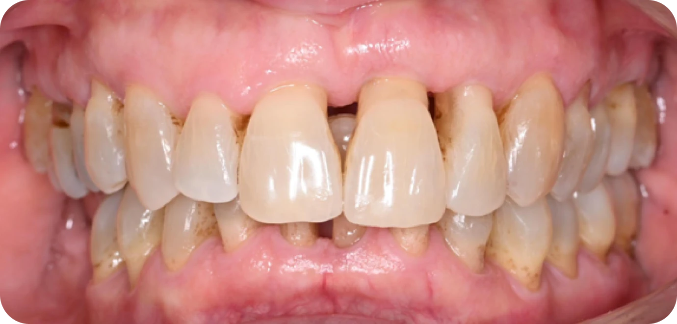
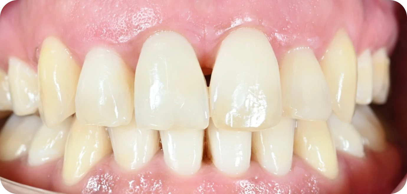
Maladie parodontale : réhabilitation esthétique par aligneurs transparents

Original - Man holding beer Processed - Man holding beer

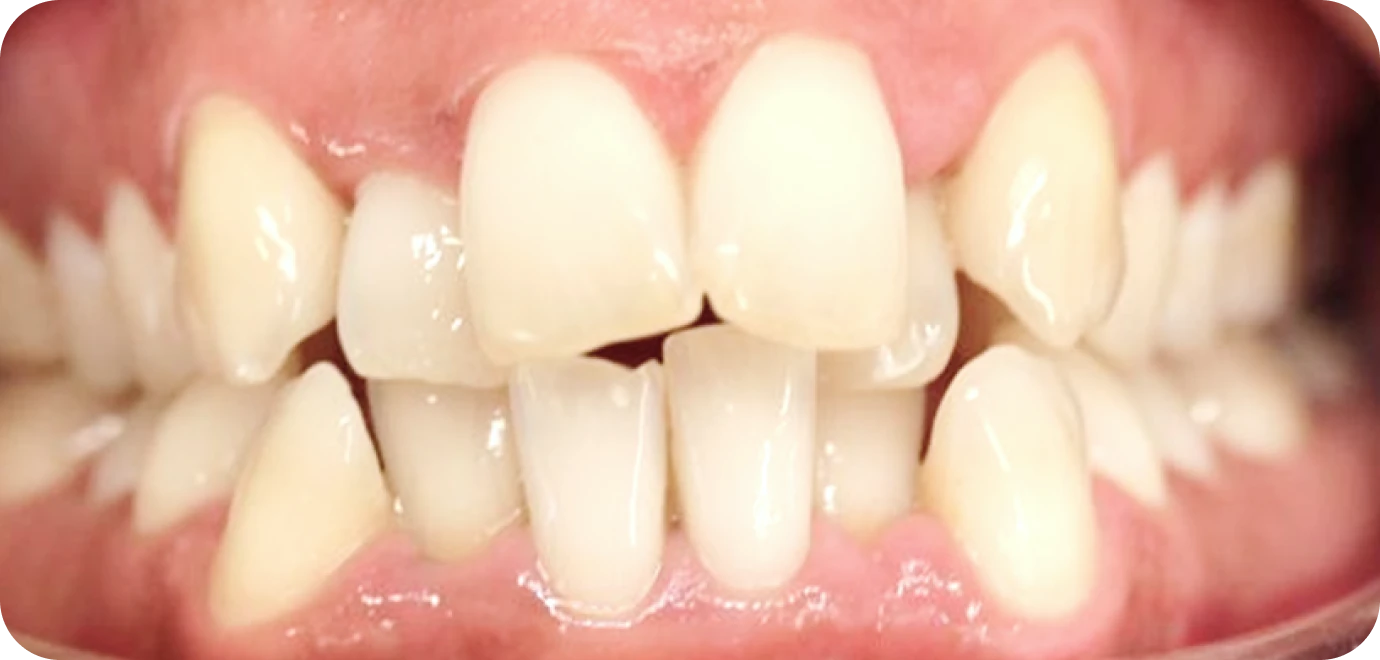
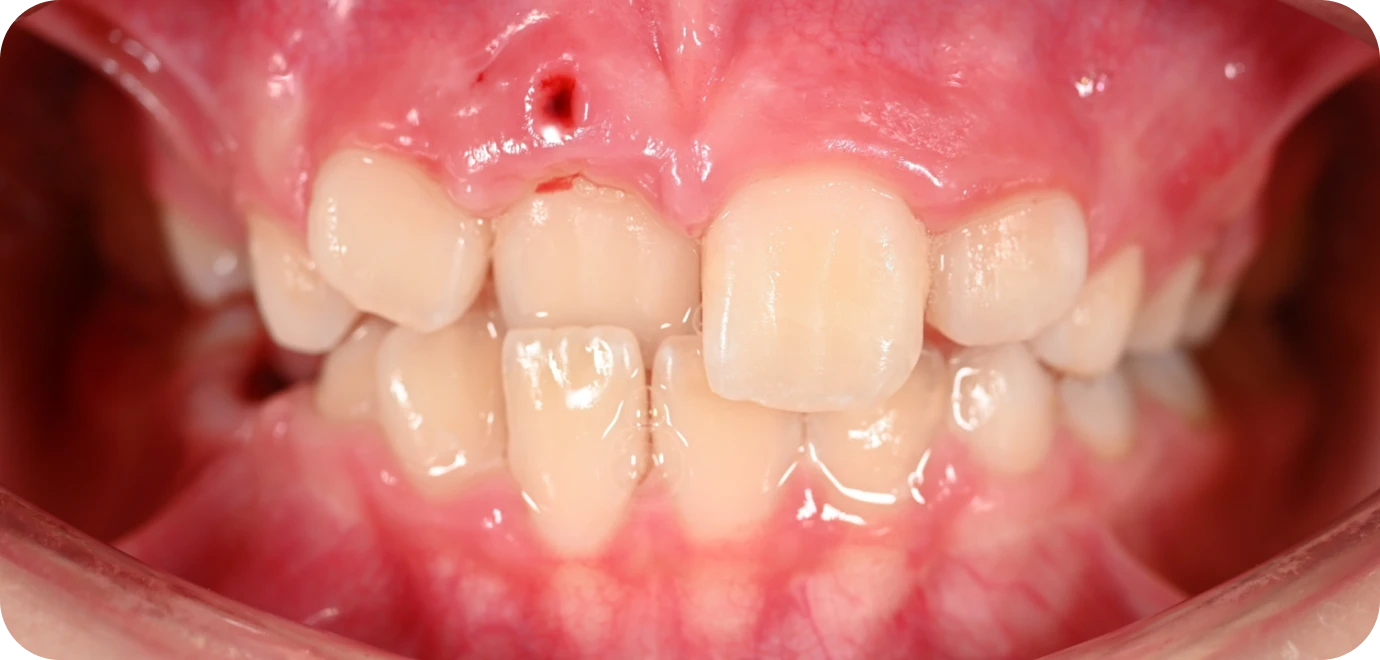
Traitement interceptif précoce

Accès

Horaires d’ouverture du cabinet :
Lundi 09h00   -   13h00 14h00   -   19h00
Mardi 09h00   -   13h00 14h00   -   19h00
Mercredi 09h00   -   13h00 14h00   -   19h00
Jeudi 09h00   -   13h00 14h00   -   19h00

Moyens de transport:
Bus – Pole De La Beauvalle (ligne 04)
Bus – California (ligne 04)
Bus – Giono (lignes 09S et 09)

Informations pratiques :
Parking gratuit

img

Contactez-nous

Vous souhaitez nous faire part de votre avis ou vous avez une question ?

    Sélectionnez votre praticien *

    Dr Romain Radjei

    Dr Alice Morel

    Dr Jean Dupont

    Motif de consultation *

    Orthodontie

    Implants dentaires

    Dentisterie esthétique

    Chirurgie buccale